logo

CHIAMA PER APPUNTAMENTO 

+39 0365 502751

logo

CHIAMA PER APPUNTAMENTO 

+39 0365 502751

+39 0365 502751

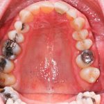
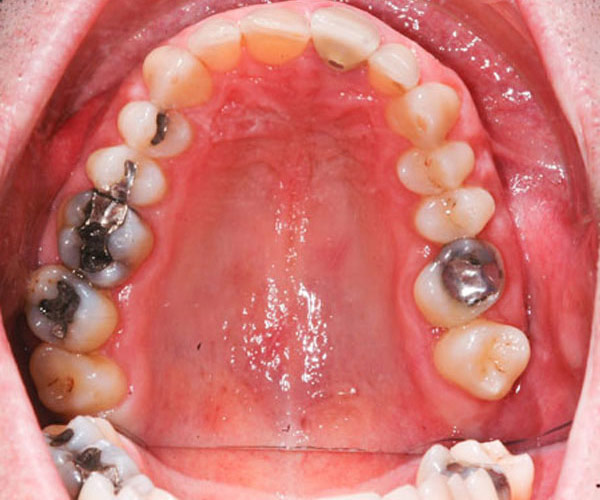
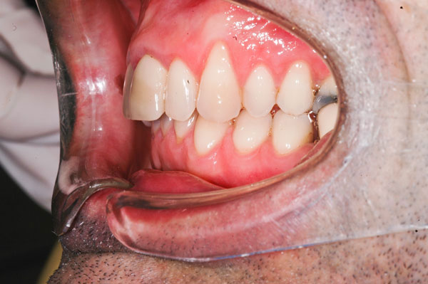
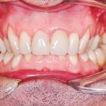
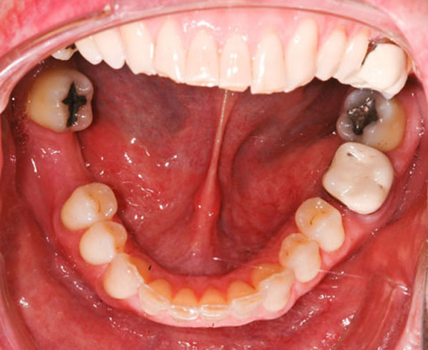
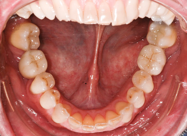
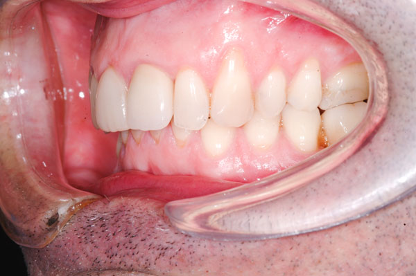
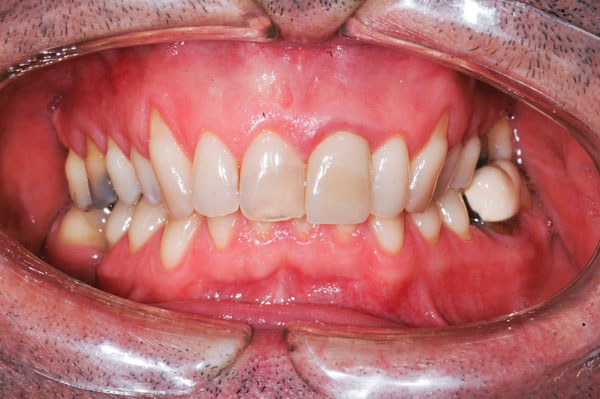
Caso Complesso