Homepage
Prestazioni
Diagnosi
Ortodonzia
Protesi
Conservativa
Implantologia
Parodontologia
Sedazione cosciente
Odontoiatria Pediatrica
Endodonzia
Chirurgia
Estetica dentale
Igiene e Profilassi
Medicina Estetica
Specialisti
Staff
Contatti
Search
CHIAMA PER APPUNTAMENTO
+39
0365 502751
Homepage
Prestazioni
Diagnosi
Ortodonzia
Protesi
Conservativa
Implantologia
Parodontologia
Sedazione cosciente
Odontoiatria Pediatrica
Endodonzia
Chirurgia
Estetica dentale
Igiene e Profilassi
Medicina Estetica
Specialisti
Staff
Contatti
Search
CHIAMA PER APPUNTAMENTO
+39
0365 502751
Homepage
Prestazioni
Diagnosi
Ortodonzia
Protesi
Conservativa
Implantologia
Parodontologia
Sedazione cosciente
Odontoiatria Pediatrica
Endodonzia
Chirurgia
Estetica dentale
Igiene e Profilassi
Medicina Estetica
Specialisti
Staff
Contatti
Search
+39 0365 502751
Homepage
Prestazioni
Diagnosi
Ortodonzia
Protesi
Conservativa
Implantologia
Parodontologia
Sedazione cosciente
Odontoiatria Pediatrica
Endodonzia
Chirurgia
Estetica dentale
Igiene e Profilassi
Medicina Estetica
Specialisti
Staff
Contatti
Estrattiva
Home
/
Estrattiva
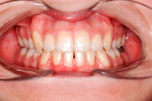
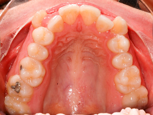
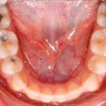
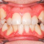
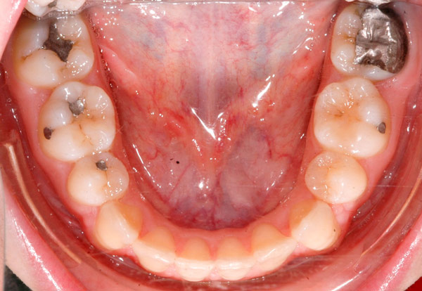
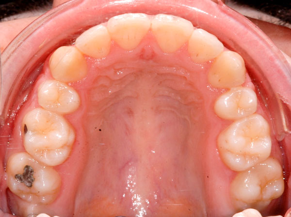
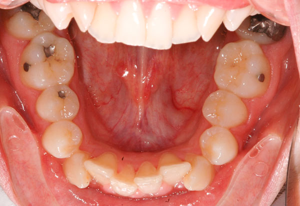
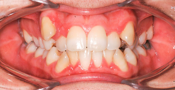
Caso 2 : Estrattiva
Prima dell’intervento
DOPo INTERVENTO
Prev
Next